Rinorreia Crónica: Rinite ou Algo Mais?
DOI:
https://doi.org/10.25754/pjp.2016.6500Keywords:
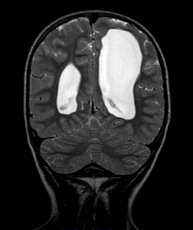
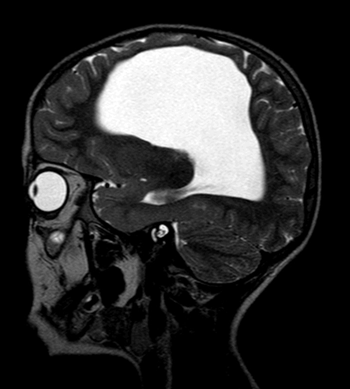
Criança, Diagnóstico por Imagem, Rinorreia, encefalocelo/diagnósticoDownloads
Download data is not yet available.
Downloads
Additional Files
Published
2016-07-29
Issue
Section
Images in Pediatrics








