Uso de ECMO em recém-nascidos com hérnia diafragmática congénita – dois casos de sucesso
DOI:
https://doi.org/10.25754/pjp.2013.2687Abstract
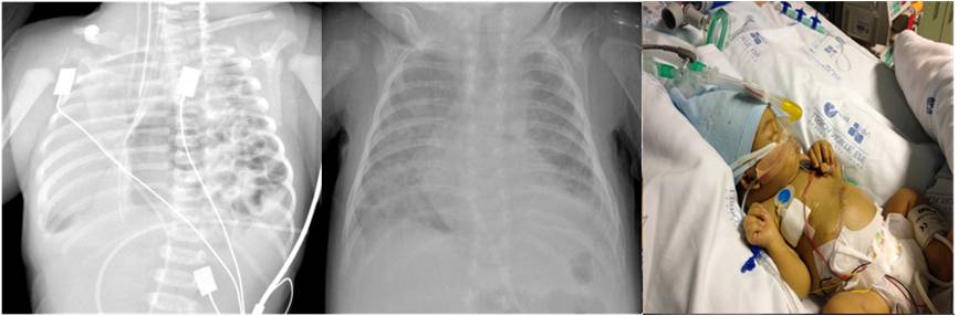
Atualmente a utilização de ECMO (oxigenação por membrana extracorporal) constitui a terapêutica de última linha no tratamento da insuficiência respiratória de doentes com hérnia diafragmática congénita. Apresentam-se os casos de dois recém-nascidos com hérnia diafragmática esquerda grave, com hipoxemia e hipertensão pulmonar refratárias às medidas máximas de terapêutica convencional, que necessitaram de suporte de ECMO para a normalização da oxigenação.
Downloads
Download data is not yet available.
Downloads
Additional Files
Published
2013-11-25
Issue
Section
Case reports








