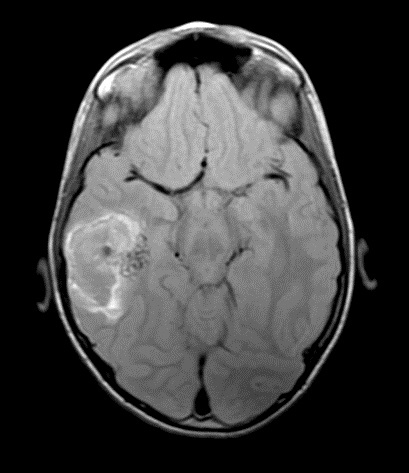
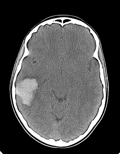
Diagnóstico de Malformação Arteriovenosa Cerebral após Traumatismo Craniano
DOI:
https://doi.org/10.25754/pjp.2016.7626Keywords:
Criança, Malformações Arteriovenosas Intracranianas/diagnóstico, Traumatismos EncefálicosDownloads
Download data is not yet available.
Downloads
Additional Files
Published
2016-12-12
Issue
Section
Images in Pediatrics








