Tuberculose na adolescência – o que esperar
DOI:
https://doi.org/10.25754/pjp.2013.2654Abstract
Adolescente do sexo feminino, com 14 anos de idade, institucionalizada 4 meses antes por comportamentos de risco em contexto de disfunção familiar, sem outros antecedentes patológicos relevantes. Apresentava história de febre e tosse produtiva com sete dias de evolução, associadas a anorexia, astenia, odinofagia e mialgias. Já se encontrava medicada com amoxicilina/ácido clavulânico sem melhoria.
Ao exame objectivo, apresentava cansaço ao falar, mas sem outros sinais de dificuldade respiratória, sem hipóxia nem alterações auscultatórias.
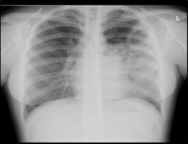
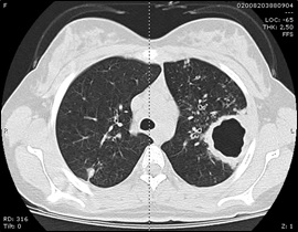
O estudo laboratorial revelou hemoleucograma normal e valores elevados de proteína C reactiva e velocidade de sedimentação. A radiografia do tórax evidenciou uma imagem hiperlucente arredondada associada a área hipotransparente no lobo pulmonar superior esquerdo (Figura 1). Foi efetuada tomografia computorizada pulmonar que confirmou lesão cavitada no lobo superior do pulmão esquerdo, medindo cerca de 50mm de maior eixo, associada a área de consolidação pulmonar (Figura 2), sendo a imagem compatível com infeção respiratória, nomeadamente, micobacteriose – tuberculose pulmonar (TP) e, posteriormente, confirmada por exame directo e cultural de expectoração.
A TP é uma doença “emergente” em idade pediátrica mesmo em doentes imunocompetentes, devendo ser sempre evocada nos diagnósticos diferenciais de pneumonia. Os adolescentes apresentam sintomas compatíveis com TP “clássica” mais frequentemente do que as crianças, nomeadamente, febre, emagrecimento, sudorese, tosse persistente e expetoração hemoptóica. Os achados dos exames complementares assemelham-se também aos do adulto, existindo infiltrados e cavitações na imagiologia de tórax e, mais frequentemente, baciloscopias positivas. O presente caso evidencia um atingimento pulmonar exuberante com uma clínica fruste, fazendo suspeitar de um curso arrastado.








