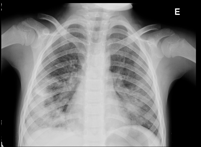
Malformação Pulmonar Congénita Tipo 2
DOI:
https://doi.org/10.25754/pjp.2017.10269Keywords:
Criança, Malformação Adenomatoide Quística Congénita do Pulmão/diagnóstico, Malformação Adenomatoide Quística Congénita do Pulmão/diagnóstico por imagemDownloads
Download data is not yet available.
Downloads
Additional Files
Published
2017-07-07
Issue
Section
Images in Pediatrics








