Doença de Trevor do Tálus: Uma Condição Rara em Idade Pediátrica
DOI:
https://doi.org/10.25754/pjp.2016.7335Keywords:
Criança, Doenças do Desenvolvimento Ósseo, Osteocondrodisplasias, Tálus, TornozeloAbstract
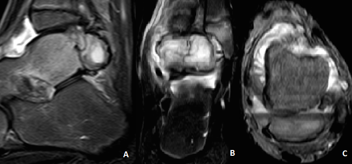
A doença de Trevor ou displasia epifisária hemimélica é uma doença esquelética rara, não-hereditária, que corresponde a uma exostose osteocartilaginosa localizada em uma ou mais epífises. Descreve-se o caso clínico de uma criança do sexo masculino, que foi admitida no serviço de urgência de ortopedia no contexto de entorse não complicada do tornozelo esquerdo. Na admissão apresentava dor e tumefação naquela articulação, associada a limitação da mobilidade e claudicação nos seis meses anteriores. Foi feita avaliação imagiológica - radiografia convencional, tomografia computorizada e ressonância magnética - que sugeriu a existência de um osteocondroma justa-articular, ao nível do tálus. Foi feita a exérese da referida exostose. A avaliação histológica concluiu tratar-se de um osteocondroma, confirmando a hipótese diagnóstica de displasia epifisária hemimélica do tálus.Downloads
Download data is not yet available.
Downloads
Additional Files
- Carta para submissão de artigos para publicação na Acta Pediátrica Portuguesa - página 1 (Português (Portugal))
- Carta para submissão de artigos para publicação na Acta Pediátrica Portuguesa - página 2 (Português (Portugal))
- Carta para submissão de artigos para publicação na Acta Pediátrica Portuguesa - página 3 (Português (Portugal))
- Declaração de Responsabilidade Autoral - página 1 (Português (Portugal))
- Declaração de Responsabilidade Autoral - página 2 (Português (Portugal))
- Declaração de Responsabilidade Autoral - página 3 (Português (Portugal))
- Declaração de Responsabilidade Autoral - página 4 (Português (Portugal))
- Capa formulário ICMJE (Português (Portugal))
- Formulário ICMJE, autor 1 - página 1 (Português (Portugal))
- Formulário ICMJE, autor 1 - página 2 (Português (Portugal))
- Formulário ICMJE, autor 1 - página 3 (Português (Portugal))
- Formulário ICMJE, autor 2 - página 1 (Português (Portugal))
- Formulário ICMJE, autor 2 - página 2 (Português (Portugal))
- Formulário ICMJE, autor 2 - página 3 (Português (Portugal))
- Formulário ICMJE, autor 3 - página 1 (Português (Portugal))
- Formulário ICMJE, autor 3 - página 2 (Português (Portugal))
- Formulário ICMJE, autor 3 - página 3 (Português (Portugal))
- Última página - formulário ICMJE (Português (Portugal))
- Figura 1 (Português (Portugal))
- Figura 2 (Português (Portugal))
- Figura 3 (Português (Portugal))
- Figura 4 (Português (Portugal))
Published
2016-05-06
Issue
Section
Case reports








