Lesões Inguinais Vesicobolhosas Recorrentes numa Criança
DOI:
https://doi.org/10.25754/pjp.2017.10227Keywords:
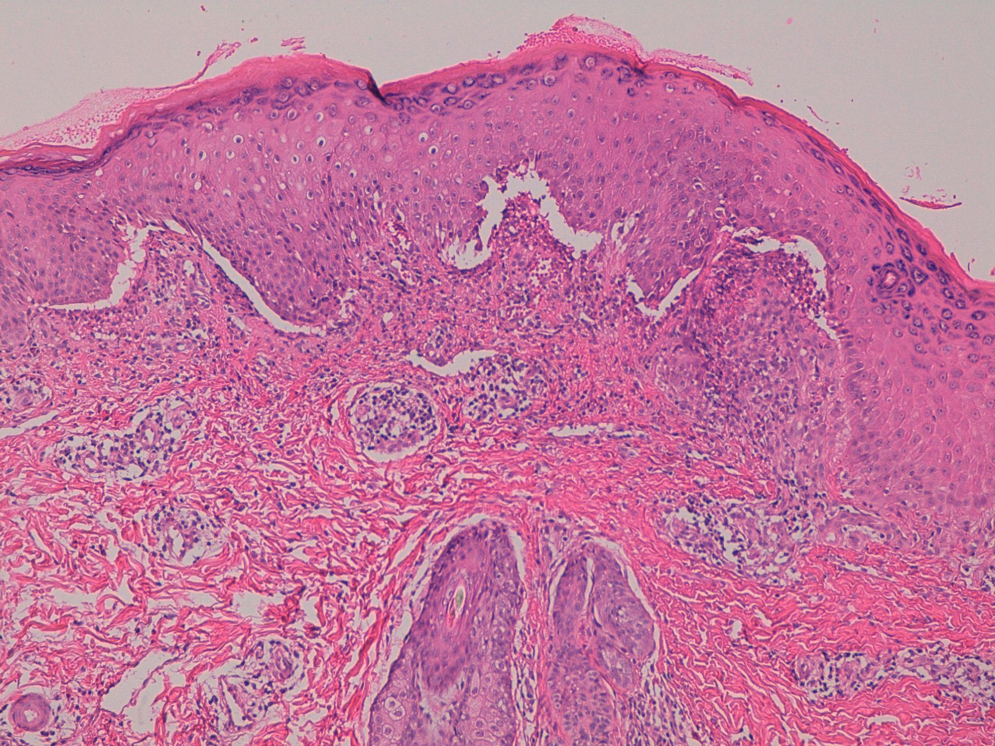
Criança, Dermatose bolhosa IgA linear/tratamento e diagnósticoDownloads
Download data is not yet available.
Downloads
Additional Files
Published
2017-07-07
Issue
Section
Images in Pediatrics








